Verleihen Sie Ihrer Haut mit SkinPen Precision, einer klinisch erprobten Behandlung zur Verjüngung und Regeneration, ein strahlendes und gesundes Aussehen. Von Aknenarben und Dehnungsstreifen bis hin zu feinen Linien, Falten, vergrößerten Poren und ungleichmäßigem Hautton – SkinPen verhilft Ihnen zu glatterer, gesünderer und strahlenderer Haut.
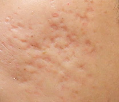
Einführung in Aknenarben
Eispickel-Narben
Tiefe Gruben (in der Regel weniger als 2 mm breit).
Ausbreitung in die Haut, wodurch die Haut aussieht, als ob sie durch einen Eispickel punktiert worden wäre.

Boxscar-Narben
Eckige Narben mit scharfen vertikalen Kanten
Können flach oder tief sein
Meist auf den Wangen und Schläfen zu finden.

Rollierende Narben
Verursacht durch Schäden unter der Hautoberfläche
Verleihen der Haut ein wellenartiges Aussehen.
Neigen dazu, breit und flach zu sein.

Wirkmechanismus:
- Baut das Narbengewebe mechanisch ab.
- Aktiviert zelluläre Enzyme, die als Matrix-Metalloproteinasen oder MMPs bezeichnet werden.
- Remodelliert das Narbengewebe durch die richtige Ablagerung von Kollagen und Elastin.
- Bekämpft die durch Erhöhung des Blutflusses verursachte rote und violette Verfärbung im Zusammenhang mit Aknenarben.
- Bekämpft die braunen Verfärbungen oder die postinflammatorische Hyperpigmentierung (PIH), die mit Aknenarben einhergehen, indem die natürlichen Wachstumsfaktoren der Haut stimuliert werden.
Weiblich | Verfahren: 6 Fotos mit freundlicher Genehmigung von: Cathy A. Presnick, lizenzierte Ästhetikerin, A Perfect Complexion, LLC, Melbourne, FL

Vorher

Nachher
Einführung in Dyschromia
Melierte hyperpigmentierte Läsionen/Flecken
Häufige Hauterkrankungen mit unbekannter Pathogenese
Assoziiert mit durch Sonne und Hormone stimulierte Melanozyten (erhöhtes melanozytenstimulierende Hormon (MSH)), was zu ungleichmäßigen Steigerungen des Melanins im Gesicht führt.
Dies ist häufiger bei Hauttypen mit höherer Pigmentierung, kann aber bei allen Hauttypen auftreten.

Pigmentierungssstörungen
Sonnenflecken entstehen durch übermäßige Produktion von Melaninpigmenten, die durch übermäßige Exposition gegenüber UV-Strahlen durch Sonnenlicht oder Sonnenbänke entstehen

Hypopigmentierte Flecken
Häufige Hauterkrankungen mit unbekannter Pathogenese
Assoziiert mit durch Sonne und Hormone stimulierte Melanozyten (erhöhtes melanozytenstimulierende Hormon (MSH)), was zu ungleichmäßigen Steigerungen des Melanins im Gesicht führt.
Dies ist häufiger bei Hauttypen mit höherer Pigmentierung, kann aber bei allen Hauttypen auftreten.

Melierte hyperpigmentierte Läsionen/Flecken
Wirkmechanismus
- Induktion von Keratinozytenfluktuation und „Wiederherstellung“ der normalen Pigmentaktivität der Melanozyten in überpigmentierten Bereichen.
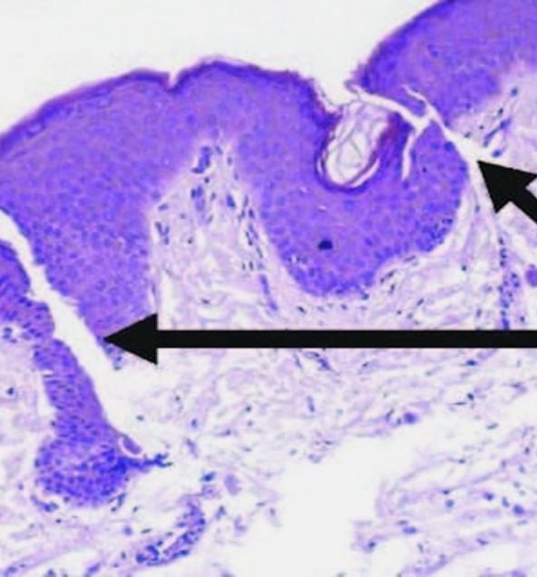
- Dies geschieht in der dermal-epidermalen Junktionszone (DEJ).
- Dieser Dermisbereich mit flacher DEJ ist die Zieltiefe für die Mikronadel. Siehe Pfeile, wo die Mikrokanäle gebildet werden

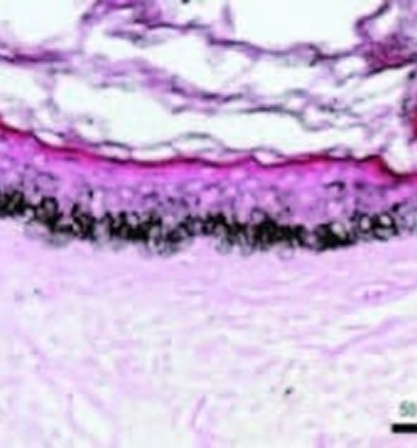
EPIDERMALE MELANINDICHTE BEI PIGMENTSTÖRUNGEN (DYSCHROMIE) VOR DEM EINGRIFF

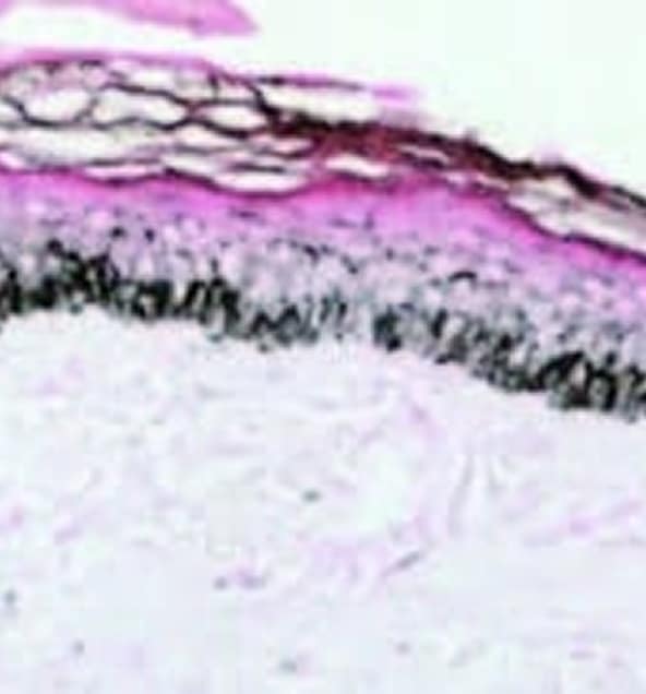
REDUKTION DER EPIDERMALEN MELANINDICHTE 1 WOCHE NACH MIKRONEEDLINGVERFAHREN


Pigmentierungssstörungen
Wirkmechanismus
- Induktion von Keratinozytenfluktuation und „Wiederherstellung“ der normalen Pigmentaktivität der Melanozyten in überpigmentierten Bereichen.
- Dies geschieht in der dermal-epidermalen Junktionszone (DEJ).
- Dieser Dermisbereich mit flacher DEJ ist die Zieltiefe für die Mikronadel. Siehe Pfeile, wo die Mikrokanäle gebildet werden
Hypopigmentierte Flecken
Wirkmechanismus:
- Induzieren der Aktivierung, Migration und/oder Proliferation von Melanozyten in hypopigmentierte Bereiche in der dermal-epidermalen Junktionszone (DEJ). Dieser flache Dermisbereich ist die Zieltiefe.
- Darüber hinaus stimuliert ein mechanisches Trauma die Migration der Melanozyten von den pigmentierten zu den unpigmentierten Bereichen.
- Das Microneedling kann die Anzahl der Pigmentzellen erhöhen und eine höhere Pigmentproduktion stimulieren
- Studien in der Literatur deuten darauf hin, dass 6 oder mehr Behandlungen erforderlich sein können, damit eine Verbesserung erkennbar ist

Stimulates melanocyte migration to restore pigment and smooth rolling scars.

Die Mikrokanäle bieten Raum für die Melanozyten, um in nichtpigmentierte Bereiche zu wandern
Einführung Operationsnarben
“In den Industrieländern ziehen sich jedes Jahr 100 Millionen Patienten Narben zu, von denen einige erhebliche Probleme verursachen. Eine Folge von 55 Millionen geplanter Operationen und 25 Millionen Operationen nach Verletzungen.
Hypertrophe Narben
Übermäßige Kollagenablagerungen; erscheinen verdickt, aber nicht in dem Maße, wie es bei Keloiden beobachtet wird.

Keloidnarben
Können als feste, gummiartige Läsion oder glänzende, faserige Knötchen auftreten

Kontrakturnarben
Sie sind durch extrem straffe Haut gekennzeichnet, die Ihre Bewegungsfreiheit einschränken kann

Wirkungsmechanismus:
- Zersetzt auf mechanische Weise Narbengewebe.
- Aktiviert zelluläre Enzyme, die als Matrix-Metalloproteinasen oder MMPs bezeichnet.
- Bildet Narbengewebe durch entsprechende Ablagerungen von Kollagen und Elastin um.
Global Assessment Score = 4. Alster, Tina S. M.D.; Li, Monica Ka Yi M.D. Microneedling of Scars: A Large Prospective Study with Long-Term Follow-Up, Plastic and Reconstructive Surgery: February 2020 – Volume 145 – Issue 2 – p 358-364 doi: 10.1097/PRS.0000000000006462

Vorher

Nachher
Einführung in Dehnungsstreifen
Dehnungsstreifen können durch eine Überdehnung der Haut verursacht werden. Sie finden sich bei Männern und Frauen, aber doppelt so häufig bei Frauen. Es gibt nur wenige Hinweise zur Vermeidung außer einer gut mit Feuchtigkeit versorgten Haut. Dehnungsstreifen beginnen tendenziell als rote Verfärbung und altern zu atrophischen weißen Dehnungsstreifen
Normale Haut
Smooth and elastic with intact collagen and elastin fibers maintaining firmness and structure.

Striae Rubrae
Early red or pink stretch marks caused by dermal tearing and inflammation with visible blood vessels.

Striae Albae
Mature white stretch marks where collagen remodeling leads to thinning and loss of pigmentation.

Wirkmechanismus:
- Fördert die Entfernung von altem geschädigtem Kollagen
- Induktion von Keratinozytenproliferation, die Wachstumsfaktoren freisetzt, um die Kollagenablagerung durch Fibroblasten- und Elastinablagerung zu fördern
- Moduliert die Expression mehrerer Gene in der Haut (vaskulärer endothelialer Wachstumsfaktor, Fibroblasten-Wachstumsfaktor, epidermaler Wachstumsfaktor, Kollagen Typ I und III), welche die extrazelluläre Matrix-Remodellierung fördern
Kui Young Park et al. Dermatol Surg 2012;38:1823–1828

Vorher

Nachher
Einführung in feine Linien & Falten
Considered a part of the aging process of the skin. This aging process is accompanied with structural and functional changes in extracellular matrix components such as collagen and elastin which can result in the appearance of fine lines and wrinkles.

Zhang, S., & Duan, E. (2018). Fighting against Skin Aging: The Way from Bench to Bedside. Cell transplantation, 27(5), 729–738. https://doi.org/10.1177/0963689717725755 7
Wirkmechanismus:
- Induktion des Wundheilungsprozesses und Stimulation der natürlichen Wachstumsfaktoren der Haut
- Erhöhung der epidermalen Dicke und des Tropoelastingehalts
- Zuführen der Hautkollagentypen I, III und VII
Fotos mit freundlicher Genehmigung von Christina Clarke, registrierte Krankenpflegerin Bio-Health & Aesthetics, Mount Pleasant, SC, USA

Vorher

Nachher
Einführung in vergrößerte Poren

Crown Clinic, Mona Alqam, MD.
Wirkmechanismus:
- Umstrukturierung alter Kollagenfasern und Ablagerung von neuem Kollagen, Elastin und Kapillaren, was zu einer Straffung der Haut führt
- Verdickung der Epidermis
- Anstieg des Niveaus von Typ I, III und VII, neu synthetisiertem Kollagen und Tropoelastin
Female, Procedures: 4. Crown Clinic, Mona Alqam, MD.

Vorher

Nachher
